Teens Before & After
Your Smile, Your Way
nivedhi's Invisalign Transformation
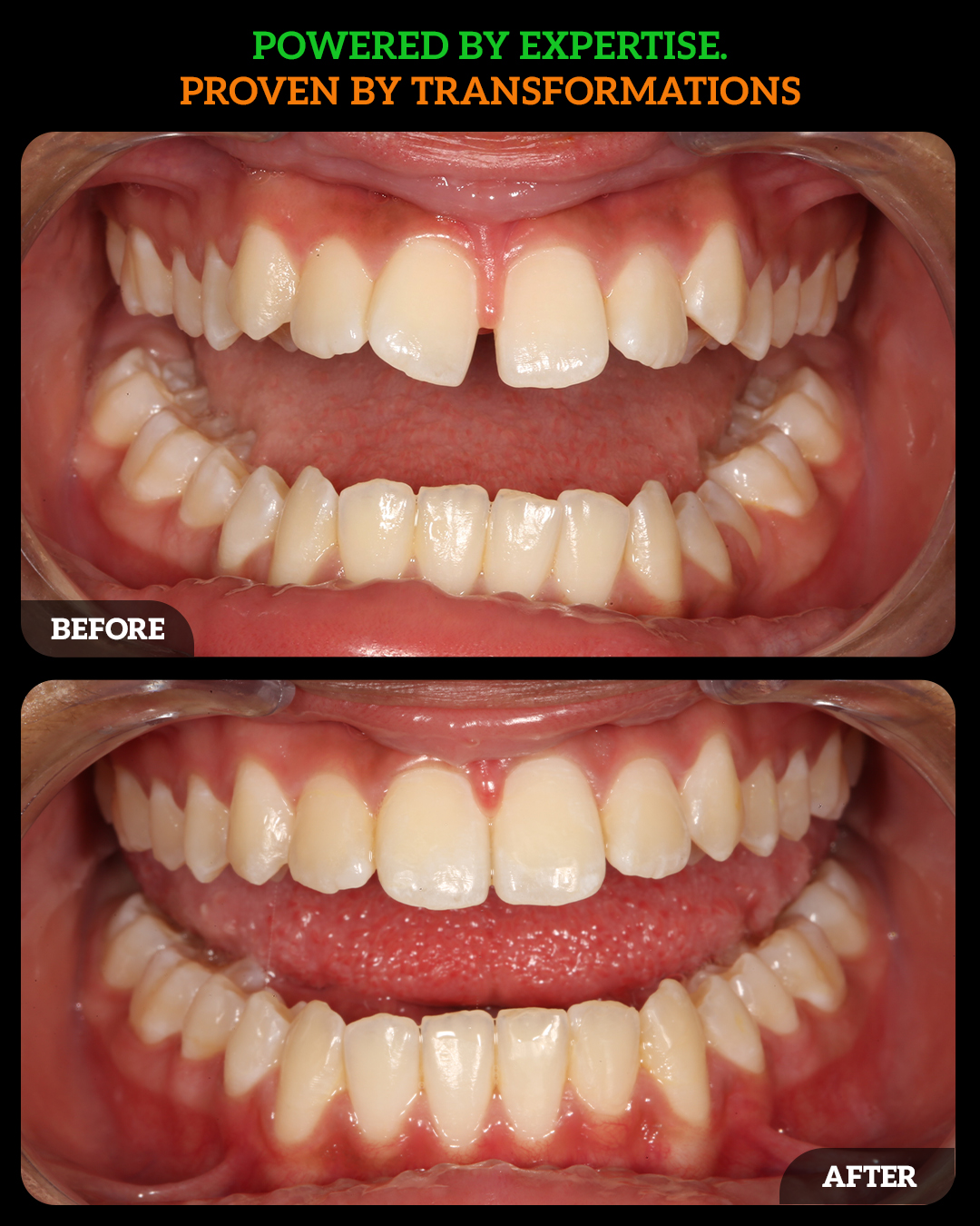
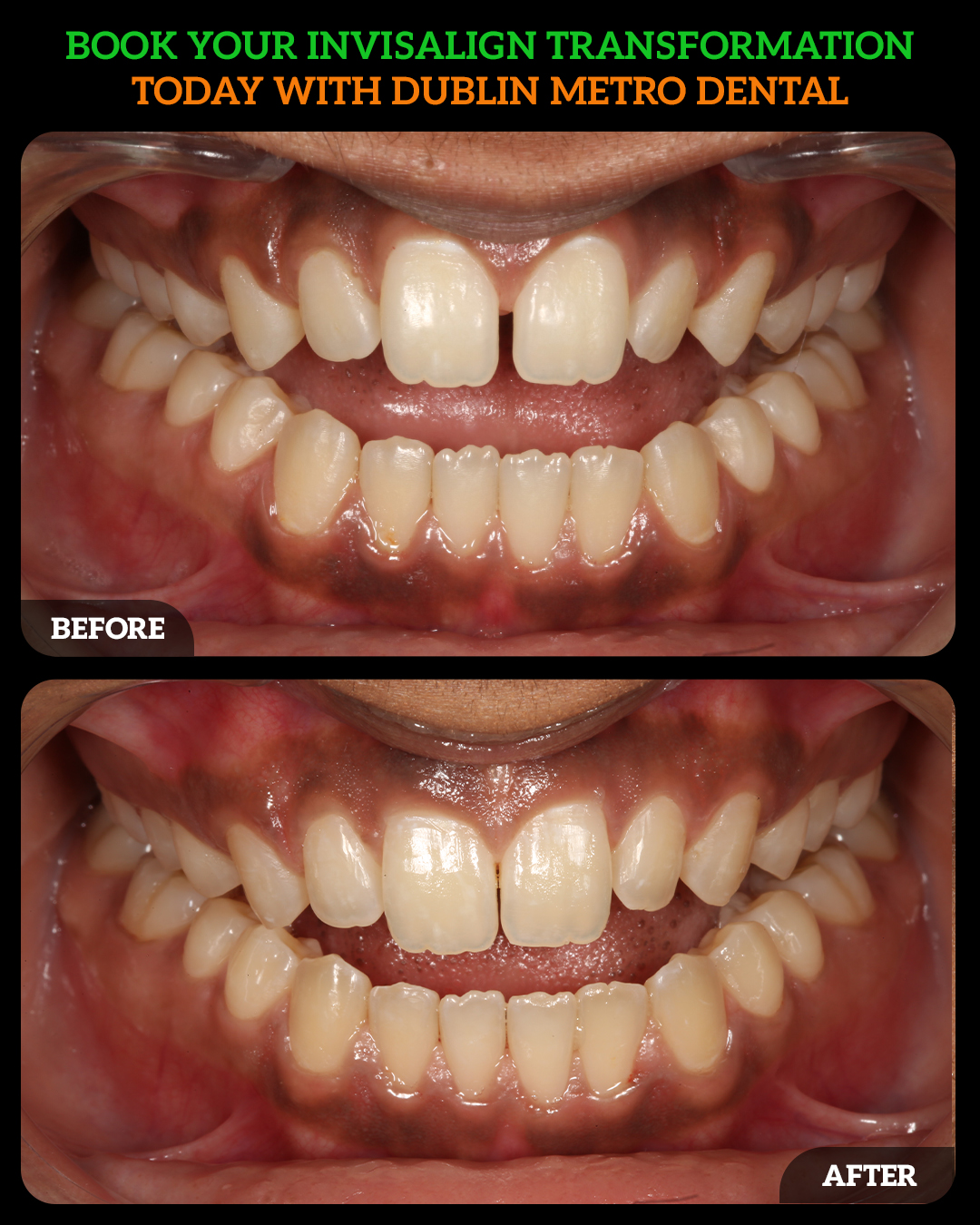
patient concern: gaps and crooked teeth , lost confidence!




Michaela gets Invisalign Transformation
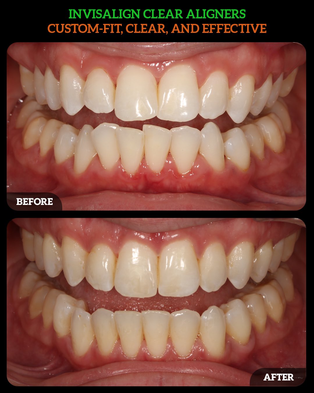
patient concern: crooked teeth , lost confidence!




Akshita gets Invisalign Transformation
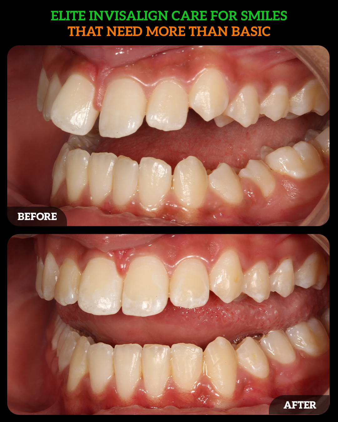
patient concern: Big gap , incorrect bite crooked teeth , lost confidence!



Morgane Invisalign Transformation
patient concern: gaps and discoloration on front tooth






Stacey gets Invisalign Transformation
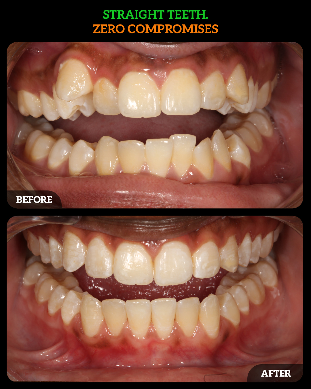
patient concern: crooked teeth , lost confidence!





Jay Invisalign Transformation
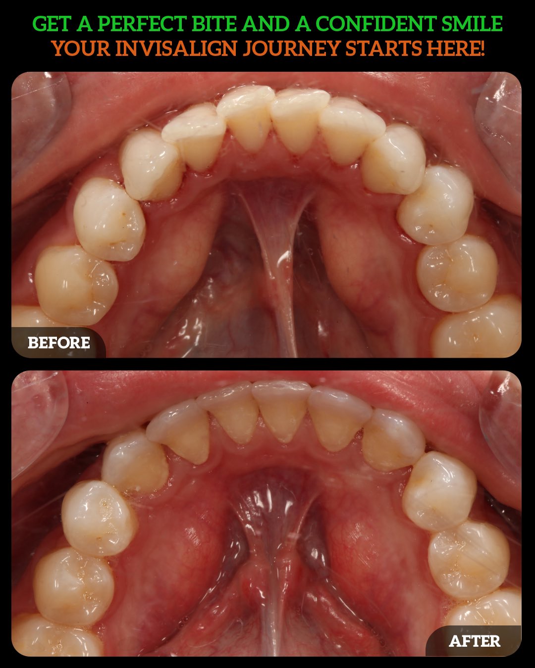
patient concern: gaps and discoloration on front tooth



Daisy Invisalign Transformation
patient concern: gaps and discoloration on front tooth



Arush Invisalign Transformation
patient concern: gaps and discoloration on front tooth






Dr. Sadineni plays an important role in your teens smile journey, keeping them on track!
Your teenβs smile is guided by a Blue Diamond Invisalign Provider, placing us among the top 1% of Invisalign doctors nationwideβwith the experience to treat even complex teen cases with precision. Whether your teen feels self-conscious about crooked teeth or youβre trying to avoid the hassle of braces, Invisalign offers a clear, comfortable, and confidence-boosting solution designed for real teen lifestylesβschool, sports, and everything in between.
Make This the Year Your Teen Loves Their Smile!