ORTHOPHOS XG 3D X-ray- Advanced 3D Dental Imaging in Dublin, OH
See More. Diagnose Better. Treat with Confidence
Whether you're considering Invisalign, dental implants, or complex dental treatment, our advanced imaging ensures safer, faster, and more accurate care.
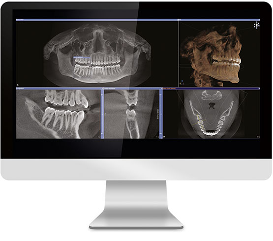
At Dublin Metro Dental, we use the latest ORTHOPHOS XG 3D Cone Beam CT (CBCT) technology to deliver highly precise, detailed 3D images of your teeth, jaw, nerves, and airway — all in just seconds.
🔍 What is ORTHOPHOS XG 3D Imaging?
The ORTHOPHOS XG 3D is a state-of-the-art Cone Beam Computed Tomography (CBCT) system that captures a full 3D view of your oral structures — something traditional 2D X-rays simply cannot provide.
- View bone density and volume
- Map nerves with precision
- Detect hidden infections or pathology
- Plan treatments with unmatched accuracy
We don’t just take images — we use them to design better outcomes for your smile.
Your Smile, Digitally Designed Before Treatment Begins
As a Blue Diamond Invisalign Provider, Dr. Sadineni uses advanced 3D imaging to map out your entire smile transformation.
- Predict tooth movement more accurately
- Identify underlying bone limitations
- Customize aligner treatment precisely
This isn’t a guess—it’s based on real data from your teeth.
Why We Use 3D CBCT - You DO NOT have be Referred Out for a Simple Scan!
The 3D view enables the patient to easily visualize the proposed solution and understand the required treatment steps.
- More Accurate Diagnoses
- Safer Treatment Planning
- Better Invisalign Results
- Low Radiation Technology
The ORTHOPHOS XG 3D system features an open, patient-friendly design, making it easy for both adults and children.
With 3D imaging, we can evaluate your airway structure, which plays a key role in breathing and sleep quality.
Helps Detect:
- Narrow or restricted airway
- Risk factors for sleep apnea
- Tongue and jaw positioning issues
This is especially valuable for:
- Invisalign patients
- Children & teens (early intervention)
- Patients with snoring or fatigue
No enclosed tubes- great for claustrophobic patients
With 3D imaging, we can identify:
Hidden infections
Root fractures
Bite Issues
Bone loss
Cysts